logo

telefon

Klinik: 0530 099 14 16

Cep:   0533 433 60 51

info@mersinpetvet.com

watsap

Ortopedi Operasyonları

kırık
ortopedi
Ortopedi
Ortopedi
ortopedi
ortopedi
ortopedi
oropedi
orto
ortopedi
ortopedi
orto
orto

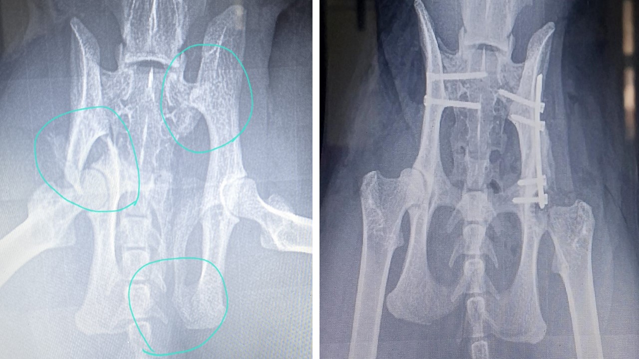
 Kliniğimizde, ortopedi alanında uzman hekimimiz eşliğinde birçok operasyon başarıyla gerçekleştirilmektedir. Ortopedik hastalıklarda doğru tanı büyük önem taşır. Bu nedenle, kliniğimize başvuran her hastanın ortopedik şikayetleri, özel uzmanlık alanı cerrahi ve ortopedi olan Op. Uzman Veteriner Hekim Mehmet TABUR tarafından değerlendirilir. Hastanın ihtiyaçlarına en uygun tedavi veya operasyon planı titizlikle oluşturulur. Kliniğimizde tüm ortopedik operasyonlar rutin olarak uygulanmakta ve her işlemde yüksek hijyen ve dikkat standartları korunmaktadır.

Uygulanan Ortopedik Operasyonlardan Bazıları:

  • Kalça çıkığı (Luxatio Femoris)
  • Ortopedik plak teknolojisi (İnternal fiksasyon plakları)
  • Çapraz bağ kopuğu tedavisi
  • Dirsek çıkığı (Luxatio Cubiti)
  • Patella çıkığı (Luxatio Patella)
  • Kas ve tendon yaralanmaları
  • Eksternal fiksasyon ile kırık tedavisi
  • Atel ile fiksasyon uygulamaları
  • Intrameduller pin ile kırık tedavisi
  • Omuz çıkığı
  • Sakroiliak ayrılma

Her vakada hasta konforu ve uzun vadeli sağlığı ön planda tutulur. Operasyon sonrası iyileşme süreci de veteriner hekimlerimiz tarafından yakından takip edilmektedir.

 

Klinik: 0530 099 14 16

Cep:   0533 433 60 51

Adres: Menderes mah. 35435 sk. No:11/A (Garanti Bankası arka caddesi) Mezitli / MERSİN

face ins WW qr